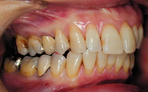
歯周病について
歯周病は、以下の4つの要素により発生します。
1)プラークコントロール
(沢山の細菌、炎症のスタート)
2)過剰な力
(硬すぎる食べ物、クイシバリ、かぶせ物の接触不良)
3)血液循環障害
(歯肉から染み出る体液による洗い流しの低下、白血球の減少、栄養不足で細胞も不調)
4)精神的ブルー
(自律神経の不調によって白血球もブルーで細菌と戦えない)

このようにして作られた歯周ポケットは累積されていきますので、生涯にわたり使用に耐えられる程度にとどめたいところです。
歯周病の進行は止められます。
しかし、それは歯ブラシやプラークコントロールだけでは止められません。
まわりの人のなかにもこれ以上出来ないというほど歯ブラシに熱心でも歯をどんどん無くして行く人がいませんか?その逆の人もいますよね。
歯科医が出来ることは上記の説明をすることと、
1)のセルフコントロール不可能な歯石(細菌)の除去、それから2)のかぶせ物接触回復と、この2点しかありません。
歯のみならず全身的な健康が得られるような、自身による良い生活習慣の獲得が本当の意味で歯周病をなおすことに繋がります。

歯肉の健康に有効な実践の内容は、
A:プラークコントロール
1) 徹底的な日を
三日に一度でいいですから、とことんキレイにする様にしましょう。
2) 舌ざわり
汚れの認識をすることが一番のモチベーションになります。
歯ブラシ中はもちろん、普段でも舌で綺麗なときと比較して汚れを感じる癖をつけると良いでしょう。
3) リセット
それでも歯垢は蓄積していくものです。
リセットを図るとともに綺麗な歯面の舌触りを再認識するため、健診とあわせて除石処置を受けましょう。
B:力のコントロール
1) 無理してガリガリ咬んじゃ危険
すでに傷んでしまった歯肉は基本的に取り戻すことは難しいので、現状のコンデションを壊さないように、負荷の少ない使用を心がけましょう。
”少咀嚼”、”硬い物好き”、”クイシバリ”が破壊のキーワードです。
さぐるように転がしながらゴロゴロと。
2) よく歩きましょう
歩かないと全身の筋バランスが変わり顎の位置変化が大きくなり、クイシバリや咬合の不均衡を呼んで歯へのストレスが増加します。また全身の血液循環の良否は下半身の運動がキーです。
3) 虫歯の治療
高精度で違和感ゼロのカブセモノ、ツメモノを入れましょう(窮屈感は少しでも有ってはいけません)。違和感が無くても接触の低いかぶせ物はいけません。接触を追い求めて食いしばりが発現します。
また神経が無くなると咬み応えの感覚が半減しますのでどうしても、クイシバリ、“」硬いもの好き”、になりやすいものです。
そんな歯をお持ちの方は一層の注意が必要です。
感触を維持するために物理的な入力が大きく求めてしまいます。
咬み応えは人間の根源的な欲求なのです。
4) 整体的な健康
クビが悪くなると、咬み応えの感覚が弱くなり、それを追い求め、硬い物が好きになり、硬固物の咀嚼はクビにさらなる負担を与えていくという悪循環に陥ります。関連して肩こりや腰痛も発現し、リンクする顎の位置も変化し、咬合不良が引き起こされ歯へのストレスは増大します。
また首周辺の筋肉の緊張で動脈がチョーク気味になり、頭部への血液供給も不十分となります。
つまり、体重、姿勢、足、腰、背中、クビ、歯列は連動しているのです。
C:血流(免疫代謝)コントロール
1) 多咀嚼
あまり硬くない物を回数多く咬むことで口周りの血液循環を促進します。
2) 精神的ストレス
交感神経(外的防御)と副交感神経(内的防御)のアンバランスは免疫機構の障害を引き起こします。あわせて首をうだれてブルーな時は”歯をくいしばって頑張る”、”うつむき不良姿勢”、”循環低下傾向”もおきますので、歯茎の平穏で安全な生活が出来なくなります。
3) 咬みしめない
くりかえしますが、クイシバリは圧迫により歯周組織の循環障害を呼びます。
自らの監視をときどき行なうことは大変有効です。
歯科疾患成立のメカニズム
歯周疾患と様々な全身疾患との関係が取り上げられています。
2)動脈硬化
3)脳血管障害
4)心疾患
などは検証されているため一般の細菌性の歯周病治療は積極的に受けなければリスクを負うことになります。しかし、これはニワトリと卵の関係と同じで、元を正せばどちらがイニシアティブをとっているのか難しい問題となります。必要なことは総体としての改善が得られればいいわけです。疾患の器官によらず患者さんごとの危険因子を取り除いていくということです。

結局は全体が健康でなければいけないわけですものね。